Warning

Cranial ultrasound scans are performed by radiographers and radiologists. A scan request form should be filled in and put in the plastic folder behind the doctor’s desk for collection by the radiologist. More urgent scans can be arranged directly with Dr Fitzgerald, if requested by the NNU consultant. All of the neonatal unit consultants perform cranial ultrasound scans. Junior staff are encouraged to perform scans under supervision but not unsupervised as this can lead to communication difficulties with parents. All scans should be recorded and reported promptly in the Badger patient record using the Cranial Ultrasound Detailed input template. Any difficulties in interpretation of the scan should be discussed first with a consultant or radiologist and then recorded.

The recommended scheduling for scans is described below. Additional scans may be considered necessary at other times in individual cases.

All scan results should be discussed with parents and, unless normal, this should be done by a member of the senior medical team. Although standard views for examination and hard copy print out are shown below, it is good practice to examine the peripheries of the brain including extreme lateral sagittal views, extreme anterior and posterior coronal views.

Preterm infants <30 weeks

  • All infants <30 weeks gestation at birth should have a cranial USS as soon as possible after admission to the neonatal unit.
  • Further scans should be obtained on days 2, 3, and 7 and then weekly until 32 weeks.
  • There should be a final scan obtained between 36 weeks and term. This should be performed pre-discharge if the baby is ready for discharge before 36 weeks.
  • Infants whose early scans show abnormalities will have more frequent follow-up scans to monitor for progressive ventricular dilatation or periventricular leukomalacia

Preterm infants 30+0-34+6 weeks

These infants should have a scan at the end of the first week and a follow up scan pre-discharge.

Term infants

  • Mature infants with neonatal encephalopathy or other acute neurological dysfunction or dysmorphic syndromes or suspected or proven CNS infection should be scanned as soon as possible after neonatal unit admission. Encephalopathioc infants should have further scans on days 2,3 and 7
  • Infants with evidence of renal and/or hepatic dysfunction suggestive of organ injury should also be scanned even if they have not shown neurological dysfunction.
  • Sometimes these infants will also have CT or MRI scans arranged

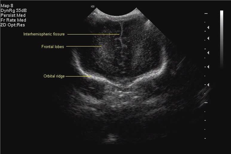
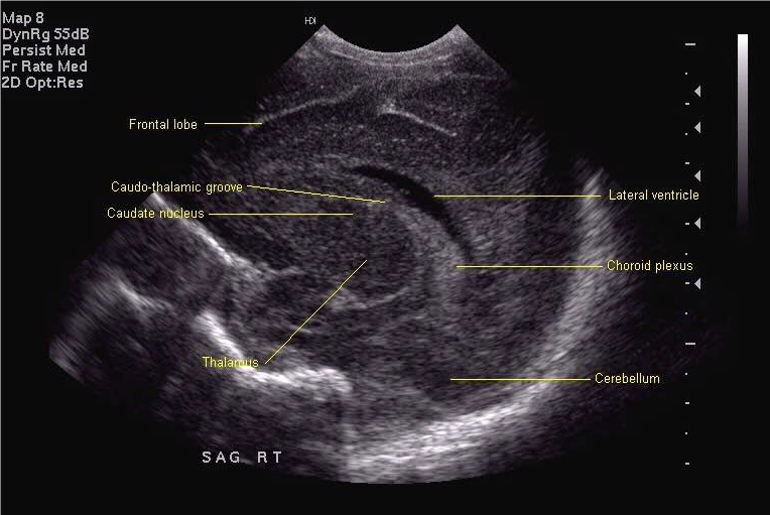
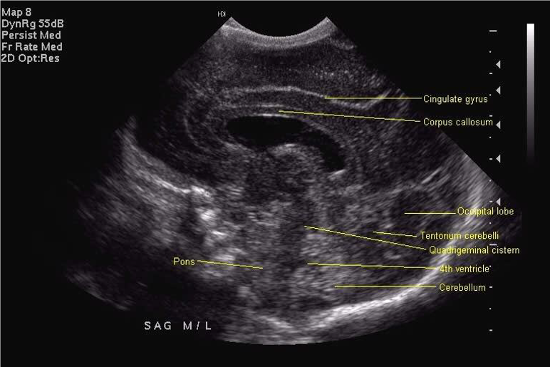
Standard views for cranial ultrasonography of the newborn

Anterior Coronal

Mid Coronal

Posterior coronal

Midline Sagittal

Lateral sagittal (to be labelled "left" or "right")

 

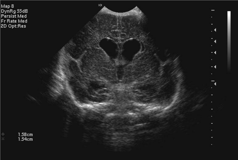
Ventricular dilation

  • When there is ventricular dilatation on scan, the ventricular index is measured to given an objective comparison between scans
  • The ventricular index is the distance from the midline to the most lateral part of the lateral ventricle on a coronal scan taken at the level of the foramina of Munro
  • The chart below gives the 3rd, 50th and 97th centiles for ventricular index by gestation
  • Infants with progressive post-haemorrhagic ventricular dilatation may require intervention (see guideline on post-haemorrhagic hydrocephalus

 

Editorial Information

Last reviewed: 21/11/2012

Next review date: 29/11/2031

Author(s): Ben Stenson.